​​


Un uomo arriva in ospedale perché il suo scroto ha cominciato a fischiare



Un uomo di 72 anni dell’Ohio, valutato al pronto soccorso per una condizione piuttosto insolita (e decisamente umiliante), aveva una condizione di questo tipo.



Un team di medici del Dipartimento di Medicina Interna della Wright State University di Dayton, Ohio, ha riportato il caso di un uomo di 72 anni che è stato il primo al mondo a cui è stata diagnosticata una condizione nota come “scroto fischiante”, che assomiglia allo pneumoscroto. Il nome di questa condizione, tanto rara quanto imbarazzante, è stato dato dal fatto che l’uomo, quando si è recato al pronto soccorso, si è lamentato di avere difficoltà a respirare e di emettere uno strano sibilo dalla sacca scrotale.

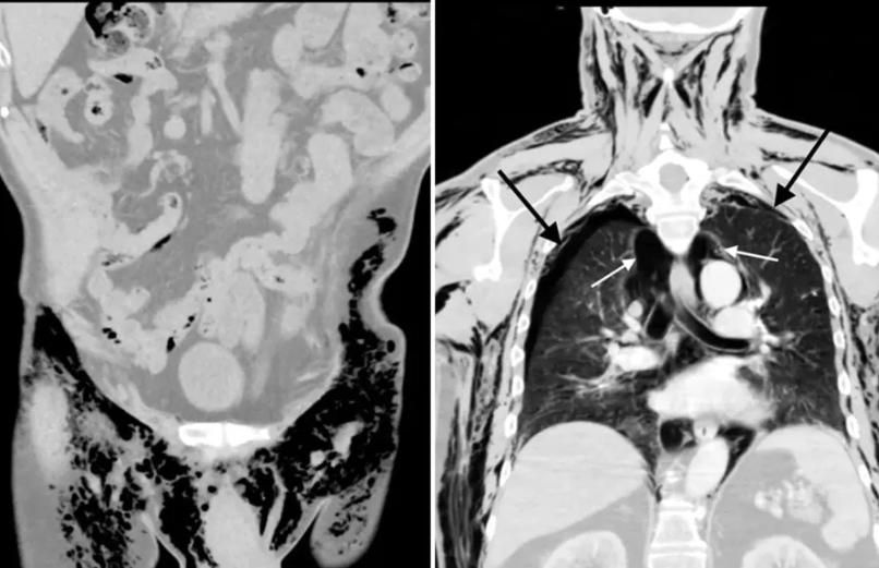
Una radiografia del torace dell’uomo ha rivelato che l’aria si era accumulata tra i polmoni e la parete toracica (pneumotorace bilaterale), l’aria occupava la parte centrale del torace (pneumomediastino) e l’enfisema sottocutaneo era presente nell’addome, nel perineo e nello scroto. I medici hanno anche osservato che una ferita aperta sullo scroto, causata da un intervento chirurgico ai testicoli cinque mesi prima, stava rilasciando aria.

Nonostante il complesso quadro clinico, l’anziano si è ripreso completamente dopo che i medici hanno inserito tubi toracici bilaterali e drenaggi sottocutanei per rimuovere l’aria che circondava i polmoni e i tessuti sottocutanei della cavità addominale. L’aria perineale nelle gambe e nelle cosce, invece, ha richiesto un trattamento più complicato e un intervento chirurgico allo scroto, che si è rivelato significativo.

I medici hanno precisato che non è “chiaro” come questo raro evento clinico si sia esattamente verificato. “L’origine dell’aria è dovuta principalmente a un trauma, ma lo pneumoscroto spontaneo può svilupparsi da cause gastrointestinali o polmonari – indicano gli autori del case report – . Tuttavia, lo pneumoscroto nell’ambito di una ferita scrotale, che consente all’aria di passare liberamente all’esterno del corpo, non era stato precedentemente mai documentato in letteratura”.



Add comment