La carie dentale è un problema comune e spesso sottovalutato, ma in realtà il suo sviluppo richiede un processo graduale che dipende da diversi fattori. Per comprendere meglio come si forma la carie, è importante esaminare i fattori che favoriscono il suo sviluppo e come possiamo prevenirla.
Come si sviluppa la carie dentale
La carie non si forma da un giorno all’altro. La sua crescita è il risultato di un’interazione complessa tra batteri, alimentazione e denti vulnerabili. I batteri presenti nella nostra bocca sono in grado di produrre acidi che, a lungo andare, erodono lo smalto dentale. Questi batteri si nutrono principalmente di zuccheri e amidi che restano nella bocca dopo i pasti. Quando questi batteri digeriscono il cibo, rilasciano acidi che attaccano lo smalto dei denti.
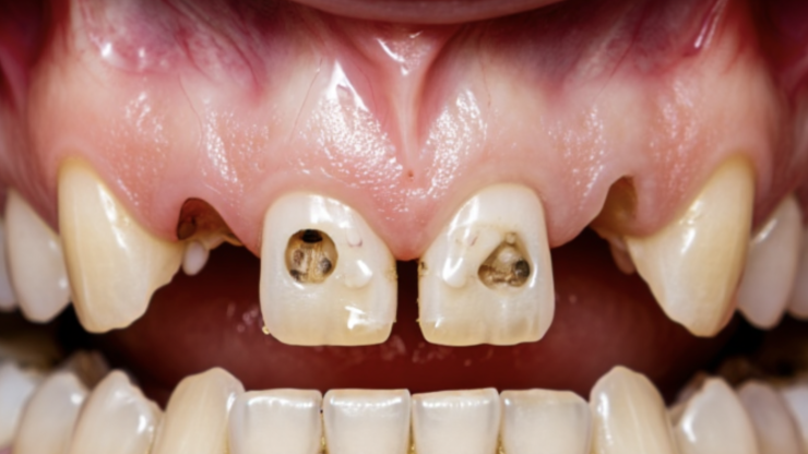
Lo smalto dentale è la barriera protettiva che riveste i denti e, quando viene danneggiato, il processo di carie diventa inevitabile. L’acido che si forma può iniziare a danneggiare lo smalto in modo lento ma progressivo. Se non trattata, la carie può penetrare più in profondità, raggiungendo la dentina e, nei casi più gravi, la polpa del dente. La polpa contiene nervi e vasi sanguigni, e il danno a quest’area può causare forti dolori.
I principali fattori di rischio
Il rischio di sviluppare la carie è maggiore in presenza di alcuni fattori che possono influire sulla salute dentale. Tra questi:
-
Cibi zuccherati e ricchi di amido: Gli alimenti ad alto contenuto di zucchero o amido favoriscono la proliferazione dei batteri che causano la carie. Quando questi alimenti non vengono rimossi prontamente dalla bocca, il rischio di formazione di acido aumenta.
-
Batteri che producono acidi: Non tutti i batteri presenti nella bocca sono dannosi, ma alcuni ceppi sono particolarmente aggressivi nel produrre acidi che erodono lo smalto dei denti.
-
Denti vulnerabili: La qualità dello smalto e la sua protezione al fluoro sono fondamentali. I denti che non sono abbastanza protetti sono più suscettibili all’attacco dei batteri.
-
Scarsa igiene orale: L’igiene orale inadeguata, come non spazzolare i denti correttamente o non usare il filo interdentale, permette ai batteri di proliferare facilmente nella bocca.
I tre principali tipi di carie
Esistono tre tipi principali di carie che colpiscono diverse aree dei denti:
-
Carie liscia: Questo tipo di carie si sviluppa sulla superficie liscia dei denti, più comunemente tra i 20 e i 30 anni. La sua crescita è lenta, ma se trascurata, può portare a danni considerevoli.
-
Carie dei solchi o delle fessure: Si forma nelle scanalature dei molari, aree difficili da pulire. Questo tipo di carie è più comune nei bambini e negli adolescenti e può essere più difficile da rilevare finché non è troppo avanzata.
-
Carie radicolare: Colpisce la radice del dente, solitamente nelle persone più anziane. La carie radicolare è spesso legata alla secchezza della bocca o a una cattiva igiene orale e può essere particolarmente aggressiva.
La carie radicolare: il tipo più pericoloso
Tra i vari tipi di carie, quella radicolare è la più pericolosa e difficile da trattare. Questo tipo di carie colpisce la parte più profonda del dente, dove i nervi e i vasi sanguigni si trovano. Se non trattata tempestivamente, può causare un’infezione che porta alla perdita del dente. La carie radicolare è particolarmente comune nelle persone anziane, a causa della ridotta salivazione e dei cambiamenti nei tessuti gengivali, che espongono la radice del dente.
Come prevenire la carie
La buona notizia è che la carie dentale può essere prevenuta adottando una serie di comportamenti di igiene orale efficaci. Ecco alcuni consigli utili per mantenere i denti sani:
-
Spazzolare i denti regolarmente: La spazzolatura dei denti almeno due volte al giorno con un dentifricio contenente fluoro aiuta a rimuovere i batteri e a rinforzare lo smalto.
-
Usare il filo interdentale: Il filo interdentale aiuta a rimuovere i residui di cibo e la placca tra i denti, dove lo spazzolino non riesce a raggiungere.
-
Uso di collutorio: I collutori contenenti fluoro possono contribuire a rinforzare i denti e a combattere i batteri che causano la carie.
-
Controlli dentistici regolari: I controlli periodici dal dentista sono fondamentali per rilevare precocemente eventuali segni di carie e per ricevere trattamenti tempestivi.
-
Alimentazione equilibrata: Limitare il consumo di cibi ricchi di zucchero e amido può ridurre la proliferazione dei batteri nocivi nella bocca.
La carie dentale è prevenibile
Anche se i batteri sono sempre presenti nella nostra bocca, possiamo proteggerci mantenendo una corretta igiene orale e seguendo abitudini salutari. Con l’adozione di semplici pratiche quotidiane, come spazzolare i denti, usare il filo interdentale e fare regolari controlli dentistici, possiamo prevenire la carie e proteggere la salute dei nostri denti nel lungo periodo.



Add comment