Il neurochirurgo Anastasios Giamouriadis ha sviluppato in Scozia una tecnica innovativa per rimuovere i tumori cerebrali attraverso le sopracciglia, evitando la craniotomia e riducendo i tempi di recupero.
Una nuova tecnica chirurgica sta rivoluzionando il trattamento delle neoplasie cerebrali. L’approccio, messo a punto dal neurochirurgo Anastasios Giamouriadis presso l’NHS Grampian in Scozia, consente di asportare tumori dal cervello attraverso un accesso sopraorbitale praticato in corrispondenza delle sopracciglia, senza ricorrere alla tradizionale craniotomia. La procedura, già approvata dalla British Neurological Society e dalla European Association of Neurosurgical Societies, offre vantaggi significativi in termini di sicurezza, tempi di intervento e recupero post-operatorio.
La tecnica, denominata “approccio sopraorbitale modificato al sopracciglio”, prevede l’esecuzione di un piccolo foro nella parte superiore dell’orbita oculare, lasciando una cicatrice minima e riducendo l’invasività. Secondo quanto spiegato dallo stesso Giamouriadis, “questo approccio ci dà uno spazio molto più limitato ma ci consente di eseguire l’operazione più rapidamente e con meno complicazioni”.
Uno degli aspetti che differenziano questo metodo dall’intervento tradizionale è la durata complessiva. Normalmente, la rimozione di tumori cerebrali tramite craniotomia può richiedere dalle otto alle dieci ore di lavoro chirurgico, con l’ulteriore difficoltà rappresentata dalla gestione delle strutture nervose e vascolari nella fase finale. “Un’operazione tradizionale può richiedere dalle otto alle dieci ore, con la parte davvero complicata di queste operazioni che è proprio alla fine, quando ci si trova a che fare con minuscoli vasi sui nervi ottici. Dopo nove ore di intervento, i chirurghi possono essere comprensibilmente stanchi, il che aumenta il rischio di errore”, ha sottolineato il medico.
Con la nuova procedura, invece, i tempi si riducono notevolmente: l’accesso al tumore può avvenire in soli 30-40 minuti e l’intera asportazione si conclude in circa tre ore. Questo consente al chirurgo di affrontare la parte più complessa dell’operazione in condizioni di maggiore lucidità e precisione. “Entrare attraverso il sopracciglio ci consente di eseguire l’operazione più rapidamente, per cui quando si esegue l’ultima parte dell’intervento il chirurgo è ancora fresco”, ha dichiarato Giamouriadis.
Un ulteriore vantaggio riguarda il decorso post-operatorio. I pazienti sottoposti a questa tecnica possono infatti lasciare l’ospedale già dopo 24 ore e riprendere le normali attività in pochi giorni. “Il paziente torna a casa il giorno dopo con un occhio un po’ nero e, dopo qualche mese, ha solo una cicatrice appena visibile”, ha aggiunto lo specialista.
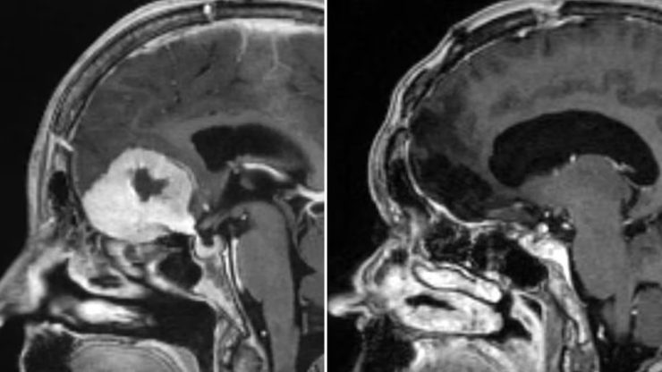
Tra i casi già trattati con successo c’è quello di Doreen Adams, una donna di 75 anni a cui era stato diagnosticato un tumore cerebrale delle dimensioni di una mela. In passato la paziente si era sottoposta a una craniotomia, senza però ottenere i risultati sperati. Con la nuova tecnica, invece, l’esito è stato diverso. “Per me la differenza tra i due interventi è stata abissale. Il mio recupero è stato molto, molto più rapido: sono uscita dall’ospedale due giorni dopo e sono tornata alla vita normale quasi immediatamente”, ha raccontato la donna.
La procedura è nata come evoluzione di un metodo già utilizzato per rimuovere alcune escrescenze craniche, che Giamouriadis ha adattato e perfezionato per il trattamento delle neoplasie cerebrali. La sua applicazione riguarda in particolare i tumori localizzati nella parte anteriore del cervello, una zona alla quale i chirurghi possono accedere direttamente attraverso il piccolo varco sopraorbitale.
Questa innovazione non solo riduce i rischi legati a interventi di lunga durata, ma migliora anche la qualità di vita dei pazienti. Il recupero rapido, la ridotta invasività e la possibilità di evitare cicatrici estese sul volto rappresentano elementi fondamentali per un approccio più umano e meno traumatico alla neurochirurgia.
Il lavoro del neurochirurgo greco, che opera stabilmente in Scozia, ha già attirato l’attenzione della comunità scientifica internazionale. La combinazione di riduzione dei tempi operatori, minore invasività e risultati estetici soddisfacenti potrebbe presto rendere questo approccio un nuovo standard per l’asportazione di tumori cerebrali in aree accessibili dalla regione sopraorbitale.
Il percorso di approvazione e validazione della tecnica è ancora in corso, ma i primi risultati ottenuti su pazienti reali dimostrano un potenziale significativo per il futuro della neurochirurgia. Se confermata su larga scala, questa procedura potrebbe segnare una svolta nel trattamento delle neoplasie cerebrali, offrendo ai pazienti un’alternativa più sicura e meno traumatica rispetto agli interventi tradizionali.



Add comment