La linea dell’Italia sull’invio di militari in Ucraina sembra definita: nessun coinvolgimento diretto in combattimenti, ma disponibilità a fornire supporto tecnico nelle operazioni di sminamento, una delle sfide più...
Doveva essere una giornata di svago in famiglia, ma si è trasformata in tragedia sulla spiaggia di Muriwai, a ovest di Auckland. Kane Watson, 28 anni, è deceduto dopo che una duna di sabbia è improvvisamente franata...
Un esame medico ordinario si è trasformato in un dramma che ha sconvolto la comunità di Rio do Sul, nello stato brasiliano di Santa Catarina. La giovane Leticia Paul, 22 anni, è deceduta dopo aver sviluppato una...
Un drammatico episodio si è verificato nella serata di ieri a Roseto degli Abruzzi, in provincia di Teramo, dove un ragazzo di 27 anni è stato trovato privo di vita dai genitori all’interno della sua abitazione. Il...
Ore di profonda tristezza per Enzo Salvi, che ha annunciato la scomparsa della madre Bruna, ricoverata da alcuni giorni a causa dell’aggravarsi delle sue condizioni di salute. L’attore e comico romano aveva da poco...
Un dramma improvviso ha colpito la comunità di Porto Sant’Elpidio, in provincia di Fermo, dove il giovane Roberto Campione, di appena 20 anni, è deceduto all’interno della sua abitazione a causa di un malore fulminante...
Giallo a Terni per la morte di Andrea Fiorelli, 59 anni, ex maresciallo della Guardia di Finanza in pensione dal 2018 per motivi di salute. L’uomo è stato rinvenuto privo di vita nella serata di venerdì scorso nel...
Francesca Pascale, insomma, non si è mai fatta intimidire dal Cavaliere. In un’intervista bella schietta, ha raccontato quella prima notte ad Arcore con Berlusconi. Mica una roba da tutti i giorni, eh. Lei, senza troppi...
La vicenda di Marzia Sardo, giovane donna che ha denunciato una molestia subita all’interno dell’ospedale Policlinico Umberto I di Roma, continua a suscitare reazioni e polemiche. Dopo la pubblicazione del suo video...
Belén Rodriguez ha registrato come marchio il nome della figlia Luna Marì: il brand consentirà la produzione di abbigliamento, cosmetici e gioielli ispirati alla bambina. Il nome Luna Marì, figlia di Belén Rodriguez e...
È morto un altro volontario italiano che combatteva in Ucraina, si chiamava Luca Cecca. Lo davano per disperso dal 2024, poi la notizia è spuntata fuori su Facebook, in un post del Memorial International Volunteer for...
Brutta storia, a Taranto. Un ragazzo di 34 anni, in sella alla sua Bmw R1250 sul corso Vittorio Emanuele II, ha perso il controllo della moto e si è schiantato. Da quel che si sa finora, nessuno ha capito bene perché...
Tredici Pietro, all’anagrafe Pietro Morandi, è pronto a tornare sulla scena musicale con un nuovo progetto discografico. L’album, intitolato Non guardare giù, uscirà il prossimo 4 aprile, a distanza di tre anni dal suo...
Allora, Jodi de Groot – 34 anni, mamma australiana – si trovava a casa con la sua bimba piccola. Classica scena: montagne di panni da lavare che strizzano l’occhio dal cesto, mentre fuori magari splende pure il sole...
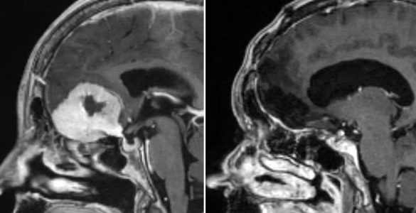
Il neurochirurgo Anastasios Giamouriadis ha sviluppato in Scozia una tecnica innovativa per rimuovere i tumori cerebrali attraverso le sopracciglia, evitando la craniotomia e riducendo i tempi di recupero. Una nuova...