News “Cari uomini, mi vergogno di noi” dopo i commenti sulla ragazza molestata durante una tac Emanuela B.25/08/2025
News Belén Rodriguez registra il nome della figlia Luna Marì: diventa un marchio per abiti e gioielli Emanuela B.25/08/2025
News Luca Cecca, il volontario italiano disperso in Ucraina dal 2024, è stato confermato morto Emanuela B.25/08/2025
News Perde il controllo della moto a Taranto: 34enne muore dopo l’arrivo in ospedale Emanuela B.25/08/2025
News Tredici Pietro confessa: “Facevo uso di sostanze e mi facevo del male, non l’ho detto a mio padre Gianni Morandi” Emanuela B.25/08/2025
News Bimba di 4 anni morde capsula di detersivo e perde la vista: “È successo in un attimo” Emanuela B.25/08/2025
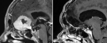
News Asportato un grosso tumore al cervello passando dalle sopracciglia: prima mondiale senza craniotomia Emanuela B.24/08/2025
News Sono quasi morta”: il racconto shock dell’influencer dopo l’intervento ai glutei in Turchia Emanuela B.24/08/2025
Intrattenimento Victoria De Angelis innamorata, vacanze in Sicilia con Luna Passos: “Estate di baci e abbracci” Emanuela B.24/08/2025
News Tragedia in mare a Punta Sabbioni: comandante trovato morto, in salvo quattro persone Emanuela B.24/08/2025
News Arrigo Sacchi, casa devastata dal violento nubifragio: “Sono fortunato a essere ancora vivo” continua su: https://www.fanpage.it/sport/calcio/arrigo-sacchi-casa-devastata-dal-violento-nubifragio-sono-fortunato-a-essere-ancora-vivo/ https://www.fanpage.it/ Emanuela B.24/08/2025
News Lutto nel mondo dello spettacolo, muore una leggenda di cinema e tv: conquistò il pubblico con un ruolo iconico Emanuela B.24/08/2025
News Gondola si ribalta a Venezia: attimi di paura, turisti cadono in acqua e si aggrappano alle grate Emanuela B.24/08/2025
News Uomo di circa 60 anni trovato senza vita nel fiume Adige: il corpo era lì da tempo Emanuela B.24/08/2025